![]() |
Το αυχενικό σύνδρομο είναι ένα σύνολο συμπτωμάτων από την αυχενική μοίρα της σπονδυλικής στήλης (ΑΜΣΣ), το οποίο συμπεριλαμβάνει αυχεναλγία, επώδυνο περιορισμό κινήσεων του αυχένα με δυσκαμψία, ινιακή κεφαλαλγία και ενίοτε ζάλη. Κατά κανόνα οφείλεται σε εκφυλιστική νόσο της ΑΜΣΣ (φθορά των μεσοσπονδυλίων δίσκων, υπερτροφία και φλεγμονή των αρθρώσεων της ΑΜΣΣ) η οποία προκαλεί ισχυρό και χρόνιο μυϊκό σπασμό στους αυχενικούς μύες. Η διάγνωση είναι αρκετά τυπική κλινικά και συχνά δεν απαιτεί ειδικές απεικονιστικές εξετάσεις, οι οποίες μπορεί και να μην παρουσιάζουν σημαντικά παθολογικά ευρήματα στη συγκεκριμένη νόσο. Η θεραπεία είναι στην συντριπτική πλειοψηφία των περιπτώσεων συντηρητική. Ως αυχενοβραχιόνιο σύνδρομο ορίζεται ο συνδυασμός αυχεναλγίας και βραχιαλγίας, πόνου δηλαδή σε ένα, ή σπανιότερα και τα 2 άνω άκρα. Η προέλευση του πόνου στο άνω άκρο είναι, στην πλειοψηφία των περιπτώσεων, μια κήλη αυχενικού μεσοσπονδυλίου δίσκου, η οποία πιέζει το παρακείμενο εξερχόμενο αυχενικό νεύρο, κάτι που ο ασθενής αντιλαμβάνεται ως άλγος κατά μήκος |
|
Επίπτωση και Αιτίες Αυχενικό Σύνδρομο Το αυχενικό σύνδρομο αποτελεί την πιο συχνή αιτία χρόνιου άλγους στον αυχένα και προσβάλει ένα όχι ασήμαντο μέρος του πληθυσμού σε όλες τις ηλικίες. Παρατηρείται συχνότερα σε γυναίκες και σε ασθενείς που ανήκουν σε συγκεκριμένες επαγγελματικές κατηγορίες στις οποίες καταπονείται ο αυχένας (υπάλληλοι γραφείου, κομμωτές, οδοντίατροι κα). Η αιτία του αυχενικού συνδρόμου είναι συνήθως χρόνιοι μικροτραυματισμοί της ΑΜΣΣ οι οποίοι την φθείρουν και διαταράσουν την φυσιολογική εμβιομηχανική της με αποτέλεσμα φλεγμονή στο σύνθετο σύνολο που την αποτελεί (μύες, συνδέσμους αρθρώσεις, μεσοσπονδύλιους δίσκους). Τα συμπτώματα του αυχενικού συνδρόμου είναι πολλά και δεν συνυπάρχουν πάντα σε κάθε ασθενή. Κυριότερο είναι ο πόνος στον αυχένα, ιδιαίτερα στην κίνηση, και η δυσκαμψία της ΑΜΣΣ. Ορισμένοι ασθενείς εμφανίζουν ινιακή κεφαλαλγία, στην περιοχή της έκφυσης των αυχενικών μυών και ζάλη στην κίνηση της κεφαλής. Πόνος στους τραπέζιους δεν είναι σπάνιος. Η επέκταση του πόνου ή μουδιάσματα στα άνω άκρα σημαίνει κατά κανόνα εκφύλιση της ΑΜΣΣ με πίεση σε αυχενικά νεύρα, συνήθως εξαιτίας κήλης ενός ή περισσοτέρων μεσοσπονδυλίων δίσκων. Τα συμπτώματα ανάγουν τότε περισσότερο σε αυχενοβραχιόνιο σύνδρομο ή αυχενική μυελοπάθεια και απαιτούν διαφορετική, πιο επιθετική, διαγνωστική και θεραπεία. Η διάγνωση αυχενικό σύνδρομο προϋποθέτει αποκλεισμό άλλης αιτιολογίας πέραν της εκφυλιστικής αστάθειας όπως για παράδειγμα οι όγκοι. Αυχενοβραχιόνιο σύνδρομο Ως αυχενοβραχιόνιο σύνδρομο ορίζεται ο πόνος στην περιοχή του αυχένα με επέκταση σε ένα από τα δύο άκρα. Είναι ένα τυπικό σύμπτωμα πίεσης σε ένα από τα αυχενικά νεύρα τα οποία νευρώνουν τα άνω άκρα. Η πίεση στο αυχενικό νεύρο που έχει επηρεαστεί συμβαίνει συχνότερα στην έξοδό του από τον σπονδυλικό σωλήνα από το νευρικό τρήμα, είτε λόγω κήλης του αυχενικού μεσοσπονδυλίου δίσκου, είτε λόγω στένωσης του τρήματος από εκφύλιση ή άλλες σπανιότερες αιτίες. Αυτό δημιουργεί αρχικά πόνο και όταν η πίεση είναι έντονη ή/και χρόνια, μπορεί να δημιουργήσει και υπαισθησία ή/και αδυναμία στο επηρεαζόμενο άκρο. Βλάβες των αυχενικών νεύρων περιφερικότερα του τρήματος, όπως τραυματισμοί και όγκοι, μπορεί και αυτές να προκαλέσουν νευροπαθητικό πόνο είναι όμως πολύ σπανιότερες. |
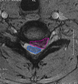
Κήλη αυχενικού μεσοσπονδυλίου δίσκου (φούξια πλαίσιο), με στένωση του νευρικού τρήματος και πίεση του εξερχόμενου νεύρου. |
|
Διάγνωση Απαραίτητες είναι Η λεπτομερής λήψη ιστορικού και η κλινική εξέταση, Αν από αυτές προκύψουν: Έντονες ή χρόνιες ενοχλήσεις, Παθολογικά νευρολογικά ευρήματα από τα άνω άκρα, Ευρήματα ή ιστορικό ανάγων σε κακοήθη νόσο, λοίμωξη ή άλλη σοβαρή νόσο, τότε: Μαγνητική τομογραφία της αυχενικής μοίρας της σπονδυλικής στήλης, Και σε ορισμένες περιπτώσεις επιπλέον: Ακτινογραφίες της αυχενικής μοίρας της σπονδυλικής στήλης, και ενίοτε δυναμικές λήψεις σε κάμψη και έκταση, Αξονική τομογραφία της αυχενικής μοίρας μοίρας της σπονδυλικής στήλης με τρισδιάστατη ανασύνθεση, Ηλεκτρομυογράφημα και ταχύτητα αγωγής νεύρων άνω άκρων. Πρόγνωση Το αυχενικό σύνδρομο είναι μια εξ' ορισμού χρόνια και υποτροπιάζουσα κατάσταση της οποίας η πρόγνωση εξαρτάται από την ένταση και έκταση των συντηρητικών θεραπευτικών μέτρων (δες ενότητα Θεραπεία). Το αυχενοβραχιόνιο σύνδρομο έχει καλή πρόγνωση στην πλειοψηφία των ασθενών και υψηλά ποσοστά ίασης με απλή αναλγητική αγωγή και ανάπαυση του αυχένα. Μια μειοψηφία ασθενών με έντονο πόνο και κυρίως ανάπτυξη νευρολογικού ελλείμματος (αδυναμία ή/και υπαισθησία, μούδιασμα άνω άκρου) χρήζει κλινικής και απεικονιστικής αξιολόγησης με σκοπό να διαπιστωθεί η ανάγκη χειρουργικής αποσυμπίεσης του αυχενικού νεύρου έτσι ώστε να βελτιωθεί ο πόνος τους και να μην μονιμοποιηθεί η νευρολογική βλάβη. |
|
Κλωβός αυχενικής σπονδυλοδεσίας (μπλέ) μετά από αυχενική δισκεκτομή, επίπεδο Α5-Α6 (πράσινο βέλος) |
Θεραπεία Αυχενικό σύνδρομο Το αυχενικό σύνδρομο έχει κατά κανόνα συντηρητική θεραπεία η οποία περιλαμβάνει ένα συνδυασμό συνήθως αναλγητικών φαρμάκων, στήριξης και ακινητοποίησης του αυχένα με αυχενικό κηδεμόνα (στις οξείες φάσεις του συνδρόμου), φυσικοθεραπείας και κυρίως τροποποίησης της εργονομίας του εργασιακού χώρου προκειμένου να μην καταπονείται ο αυχένας. Αυχενοβραχιόνιο σύνδρομο Το αυχενοβραχιόνιο σύνδρομο αντιμετωπίζεται συνήθως συντηρητικά με τα ίδια ουσιαστικά θεραπευτικά μέτρα. Εξαίρεση αποτελούν οι ασθενείς με έντονο πόνο που δεν ανταποκρίνεται επαρκώς στα αναλγητικά φάρμακα και οι αυτοί οι οποίοι αναπτύσσουν αδυναμία ή εγκαθιστούν υπαισθησία (μούδιασμα) στο άνω άκρο. Η θεραπεία σε αυτές τις περιπτώσεις είναι όχι σπάνια χειρουργική, προκειμένου να βελτιωθεί άμεσα η ποιότητα ζωής και κυρίως να μην μονιμοποιηθεί το νευρολογικό έλλειμμα. Δες και ενότητες: Πρόσθια Αυχενική Μικροχειρουργική Δισκεκτομή, Πρόσθια Αυχενική Σπονδυλοδεσία και Αυχενική Αρθροπλαστική.
|


