![]() |
Οι κήλες των θωρακικών μεσοσπονδυλίων δίσκων είναι σπάνιες νοσολογικές οντότητες σε σύγκριση με τις κήλες των αυχενικών και οσφυϊκών μεσοσπονδυλίων δίσκων. Τα συμπτώματά τους ποικίλουν ανάλογα με τον βαθμό και την κατεύθυνση της πίεσης της δισκοκήλης στα νευρικά στοιχεία (νωτιαίο μυελό ή θωρακικά, μεσοπλεύρια νεύρα). Η θεραπεία στις περιπτώσεις πίεσης στον νωτιαίο μυελό με συνοδά νευρολογικά ελλείμματα είναι χειρουργική. |
Επίπτωση και Αιτίες
Οι κήλες των θωρακικών μεσοσπονδυλίων δίσκων αποτελούν το 0,25-1% από το σύνολο των δισκοκηλών στην σπονδυλική στήλη. Η δημιουργία τους, όπως και στην υπόλοιπη σπονδυλική στήλη, οφείλεται κυρίως στην φθορά του δίσκου από το χρόνο ή επαναλαμβανόμενους μικροτραυματισμούς και έχει ως αποτέλεσμα την προβολή του δίσκου είτε προς τον σπονδυλικό σωλήνα με πίεση επί του νωτιαίου μυελού, είτε προς τα νευρικά τρήματα με πίεση επί των μεσοπλευρίων νεύρων. Η φυσιολογική ανατομία του δίσκου και οι διαταραχές της περιγράφονται αναλυτικά στην ενότητα Κήλη Οσφυϊκού Μεσοσπονδυλίου Δίσκου.
Συμπτώματα
Τα συμπτώματα μίας κήλης θωρακικού μεσοσπονδύλιου δίσκου εξαρτώνται κυρίως από την κατεύθυνση της προβολής του δίσκου, εκτός από τον τοπικό πόνο, ο οποίος τείνει να είναι πάντα παρών. Οι κεντρικές και κεντρικές-πλάγιες δισκοκήλες, οι οποίες πιέζουν τον νωτιαίο μυελό, μπορεί να προκαλέσουν υπαισθησία (μούδιασμα) και αδυναμία στην θωρακική ή/και κοιλιακή χώρα και στα κάτω άκρα (παραπάρεση). Διαταραχές της ούρησης και της αφόδευσης ενδέχεται να συνυπάρχουν. Οι πολύ πλάγιες δισκοκήλες μπορεί να πιέζουν ένα μεσοπλεύριο νεύρο και να προκαλούν ζωστηροειδή πόνο και μούδιασμα στην μια πλευρά του θώρακα.
|
Διάγνωση Απαραίτητες είναι: Η λεπτομερής λήψη ιστορικού και η κλινική εξέταση, Η μαγνητική τομογραφία της θωρακικής μοίρας της σπονδυλικής στήλης, Σε ορισμένες περιπτώσεις: Τα σωματοαισθητικά προκλητά δυναμικά κάτω άκρων, Το ηλεκτρομυογράφημα και η μέτρηση ταχύτητας αγωγής νεύρων των κάτω άκρων, Η αξονική τομογραφία της θωρακικής μοίρας της σπονδυλικής στήλης. Πρόγνωση Η φυσική εξέλιξη της κήλης του θωρακικού μεσοσπονδύλιου δίσκου δεν είναι τόσο σαφής και μελετημένη όσο στον αυχένα και την οσφύη. Τυχαία ανευρισκόμενες δισκοκήλες της θωρακικής μοίρας της σπονδυλικής στήλης, και ιδιαίτερα μη πιέζουσες τον νωτιαίο μυελό, σπάνια αποτελούν αντικείμενο παρακολούθησης ή θεραπείας μετά από την πρώτη αξιολόγηση. Κεντρικές και κεντρικές-πλάγιες δισκοκήλες πρέπει πάντα να αξιολογούνται, κυρίως ως προς το στοιχείο της πίεσης επί του νωτιαίου μυελού το οποίο μπορεί να χειροτερεύει στο χρόνο ή να απαιτεί άμεση θεραπεία. Η αυτόματη ανάταξη νευρολογικού ελλείμματος από πίεση στον νωτιαίο μυελό δεν είναι πιθανή. Οι πλάγιες δισκοκήλες με πίεση στα μεσοπλεύρια νεύρα είναι ιδιαίτερα επίμονες και ο πόνος που δημιουργούν είναι συχνά χρόνιος (μήνες-έτη). Θεραπεία |
|
Η θεραπεία εξαρτάται από τον συνδυασμό απεικόνισης, συμπτωμάτων και κλινικών ευρημάτων. Οι κήλες που πιέζουν τον νωτιαίο μυελό και δημιουργούν νευρολογικά συμπτώματα έχουν κατά κανόνα χειρουργική θεραπεία με σκοπό να αποφευχθεί η μονιμοποίηση ή η επιδείνωση του νευρολογικού ελλείμματος. Η προσπέλαση της δισκεκτομής μπορεί να είναι πρόσθια, πλάγια ή οπίσθια ανάλογα με τις ανατομικές συνθήκες και τη θέση της δισκοκήλης. Η θωρακική πεταλεκτομή ή ημιπεταλεκτομή με αποσυμπίεση του νωτιαίου μυελού είναι επίσης μια εναλλακτική σε επιλεγμένους ασθενείς. Πλάγιες δισκοκήλες με πίεση σε μεσοπλεύριο νεύρο χειρουργούνται όταν ο πόνος δεν ανταποκρίνεται στην φαρμακευτική αγωγή ή είναι ιδιαίτερα οξύς και επίμονος. Τοπικές εγχύσεις αναλγητικών φαρμάκων μπορεί επίσης να επιχειρηθούν σε ορισμένες περιπτώσεις. Για λεπτομέρειες που αφορούν στη χειρουργική θεραπεία δες ενότητα: Θωρακική Δισκεκτομή.

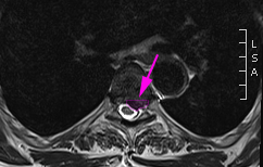
Κήλη θωρακικού μεσοσπονδύλιου δίσκου με πίεση στην τελική μοίρα του νωτιαίου μυελoύ